Your Specialist Orthodontist in Winthrop and Merredin
The Dental Orthodontic Centre is dedicated to improving the smiles of adults and children with a range of services to address and correct your dental conditions. We offer early intervention preventative treatment for young children, and we can straighten your smile with a range of braces to suit your lifestyle, age, and budget. Our customers are our number one priority, and we strive to provide top quality orthodontic treatment in a calm and caring environment. We understand that first time visits can be a little daunting, especially for young children, so we go out of our way to reassure and inspire confidence in our patients.
The Best of Orthodontic Care
Dr Ching-Howe Chan B.D.Sc (WA), MSc. (Lon), M.Orth R.C.S. (Eng), D.Orth R.C.S. (Eng)- Specialist Orthodontist has many years of experience helping people to improve their smiles in a gentle and caring environment.
We’re passionate about your smile, and we do our best to make you feel comfortable while offering the best services we can. We realise adults and children have different needs and concerns, and we discuss your treatment at every stage so you always know what’s happening.
Comprehensive Orthodontic Services
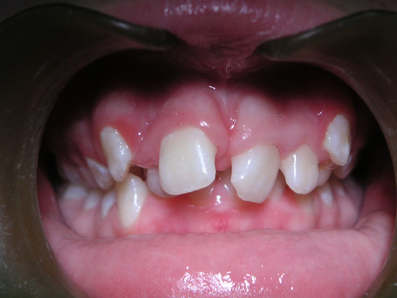
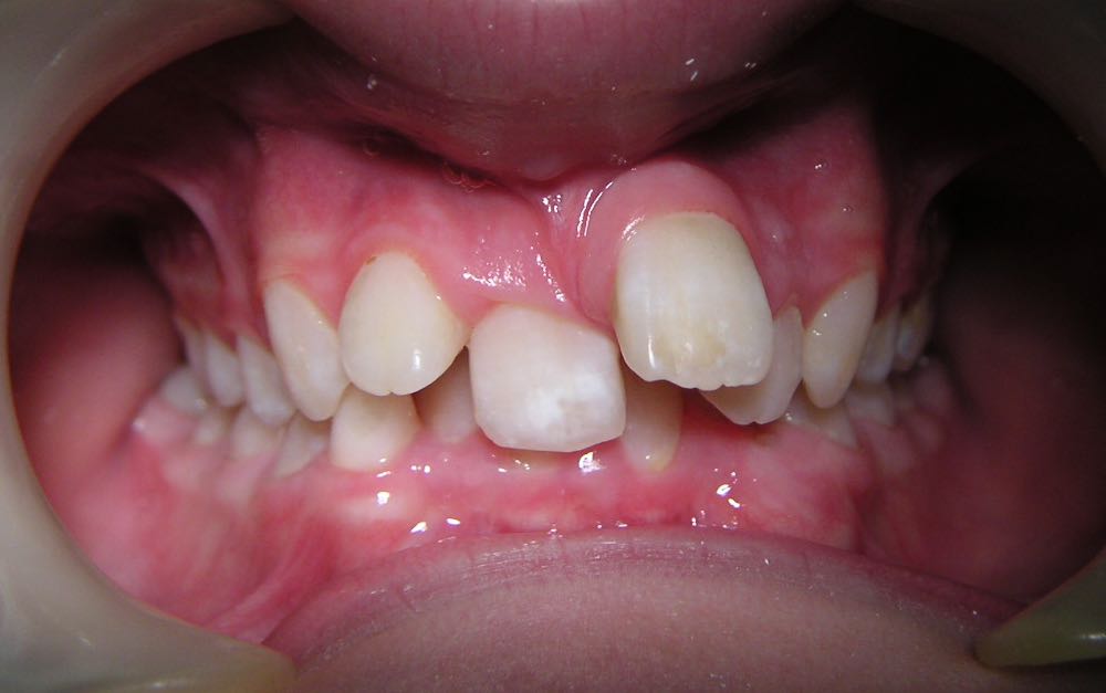
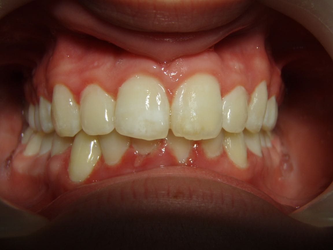
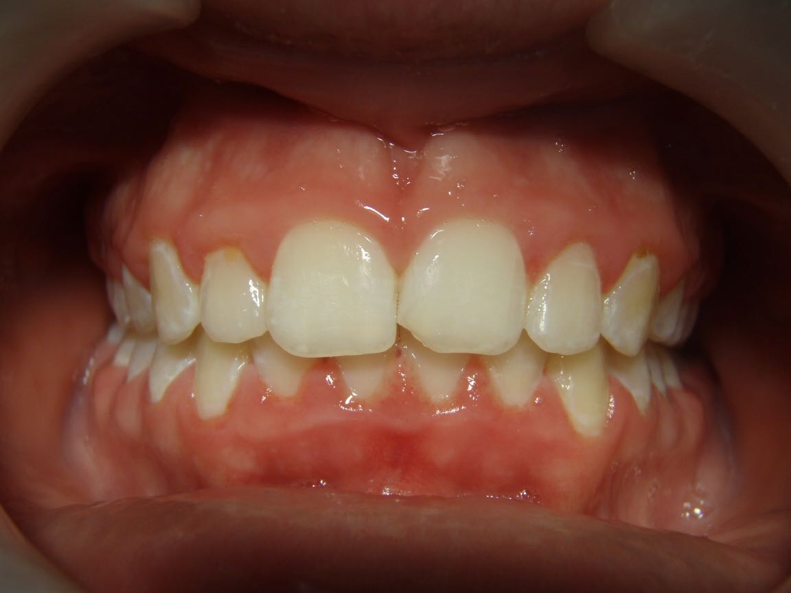
Gone are the days of large, ugly metal braces and extraction of teeth being the only options for straightening your teeth.
The latest treatment options, orthodontic and digital technologies as well as Non-Extraction and extraction (when necessary) mean you have many choices when you need to wear braces to improve your smile, such as:● Ceramic braces
● Nine-month braces for minor orthodontic problems
● Suresmile technology
● Functional orthopaedic appliances
● Fixed and removable expanders
Caring and Gentle Environment
The Dental Orthodontic Centre offers their professional orthodontic services in a calm and caring environment to reassure our patients, and make them feel comfortable and safe. Because the treatments can take some time we like to build a positive working relationship with you to avoid stress on subsequent visits. We’re a family orientated practice, and all of our staff are very approachable and willing to help.



